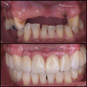
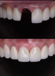
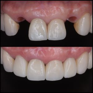
Implantología Oral
Logramos que tengas nuevas razones para sonreir
- Diferentes materiales y métodos para la restauración.
- Diagnóstico profesional.
- Los resultados varían dependiendo de la calidad del hueso y las estructuras anatómicas del paciente.
- Garantía de por vida del implante.
- Utilizamos las mejores marcas, confiables y de excelente representación mundial.
Durante el tratamiento no te dejamos sin dientes – Técnicas completamente Digitales y precisas

